Br J Surg 2012年4月; 99(4):567-75。
Doi:10.1002 / bjs.8668。
替拉帕明对射频消融后实验性大肠肝转移的影响。Govaert KM 1,Nijkamp MW,Emmink BL,Steller EJ,Minchinton AI,Kranenburg O,Borel Rinkes IH。
背景:
射频消融(RFA)是治疗大肠肝转移的常见方法。RFA产生的病变被缺氧的边缘所包围,这与肝内微转移的过度生长相关。缺氧激活的前药如替拉帕明可选择性的在低氧条件下诱导肿瘤细胞凋亡。因此,假设替拉帕明在抑制RFA所导致缺氧相关的肿瘤生长方面可能具有治疗价值。
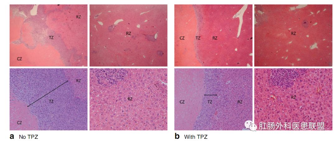
方法:鼠C26和MC38结直肠癌细胞在缺氧和正常氧合下体外生长,并用不同浓度的替拉帕明处理。体外实验通过蛋白质印迹和荧光激活细胞分选分析评估细胞凋亡和细胞周期分布。通过集落形成试验来测试增殖能力。体内实验通过携带微小结直肠肝转移的小鼠接受RFA治疗,然后单次注射替拉帕明(60 mg / kg)或生理盐水。7天后用形态计量学评估肿瘤负荷。
结果:替拉帕明在缺氧条件下体外诱导大肠肿瘤细胞凋亡。在正常的氧合作用下,替拉帕明会导致G2细胞周期停滞,从而部分恢复细胞。这减少了但没有完全消除菌落形成能力。单一剂量的替拉帕明在很大程度上避免了RFA后低氧微转移的加速生长。替拉帕明的给药与最低毒性相关。
结论:替拉帕明以低氧依赖的方式诱导大肠癌细胞凋亡,并以有限的毒性有效抑制低氧相关的肝转移的生长。这些发现值得将来进一步研究,以评估替拉帕明或其他低氧激活的前药作为RFA治疗结直肠肝转移后的辅助治疗剂的潜在价值。

2019年诺尔贝奖已经名花有主,其发现对大肠癌治疗的价值需要进一步挖掘,缺氧前体药物是治疗辐射损伤的重要药物,2012年火箭军特色医学中心肛肠外科、全军肛肠病专病中心丁健华主任在全军十二五课题支持下对肠道辐射损伤进行了系列探索,并发现了一些潜在的用于治疗辐射损伤的药物,这些药物与细胞缺氧调节有关。同时这些药物也正在用于癌症放射治疗增敏,是否能够对大肠癌治疗产生影响尚不得而知,本月结合诺贝尔奖推出缺氧与大肠癌的相关专题。
火箭军特色医学中心、全军肛肠病专病中心高东伟,丁健华编辑